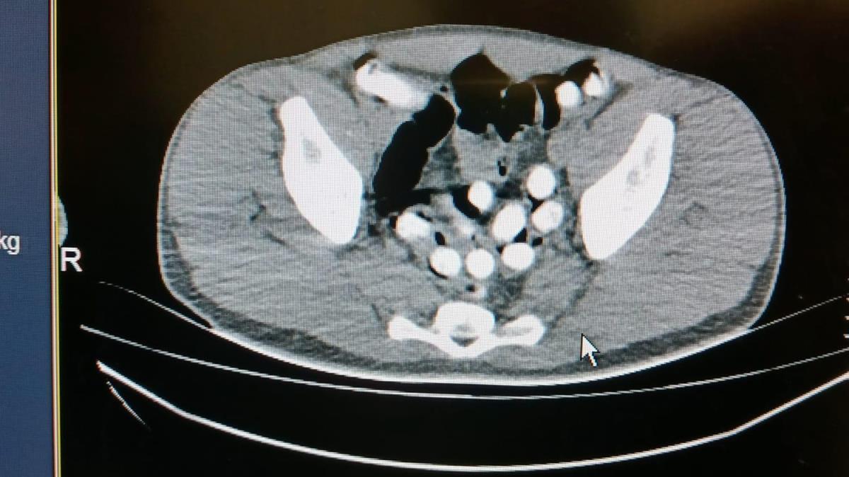
İl Emniyet Müdürlüğü Narkotik Suçlurla Mücadele Şube Müdürlüğü ekipleri, uygulama noktasında durdurulan otobüste yolculuk eden İranlı M.H.'nin üzerini aradı. Polisin midesindeki şişlikten şüphelendiği M.H., 6 kapsül halinde 62,35 gram afyon sakızını kustu. Hastaneye götürülen M.H.'nin çekilen röntgeninde mide ve bağırsak kısmında başka kapsüller bulunduğu da görüldü. Ek gözaltı süresi alınan şüpheli, doğal yollarla mide ve bağırsağındaki afyon sakızlarını çıkardı.

Midesinden 102 kapsül halinde 1 kilo 126 gram afyon sakızı çıkarılan şüpheli, sevk edildiği adliyede çıkarıldığı hakimlikçe tutuklandı.




